尴尬的色素牙与人沟通难以自在
影响工作形象业务成交不给力
影响个人气质相亲恋爱第一印象差
由美国皓齿口腔科技公司研发,其专利美白剂弥补传统技术的不足,1小时即可绽放自信亮白的笑容~ 在美国,有超过100万人用它美白牙齿,被称为效果最好的午休美齿项目。[了解更多…]
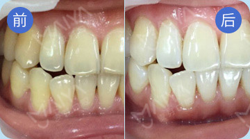
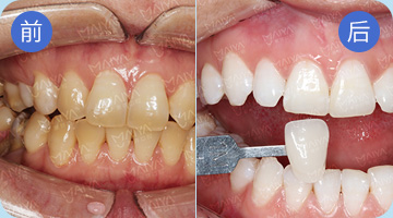
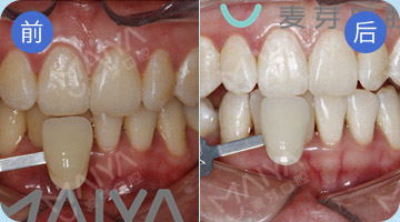
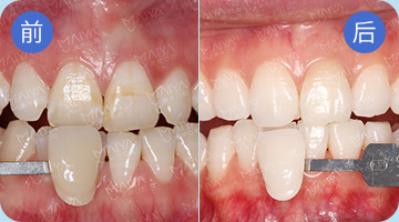
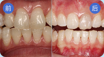
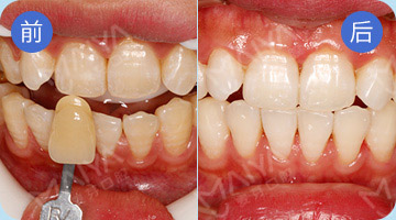
黄牙治疗前后
黑牙治疗前后
烟斑牙治疗前后
增龄性黄牙治疗前后
轻度四环素牙前后
轻度氟斑牙前后
40%浓度的过氧化氢快速置换色素因子,1小时焕白新生
硝酸钾同步生效,避免氧化还原反应造成牙齿酸痛。
氟化物促进牙釉质生成,隔绝色素,3~5年持久亮白。
美白同时穿上“防龋衣”,氟化物有效避免蛀牙。
制定合适方案
促进美白剂渗透
留作对比
守护娇嫩牙龈
基本无不适感
吸走美白剂
与方案进行对比
持久亮白
A:皓齿不用蓝光照射所以不伤牙体,拥有专利美白剂,更舒适、更持久,价格与冷光美白相近,所以皓齿美白无疑更超值。
A:一般色素牙甚至轻度的四环素牙、氟斑牙仅一次就够了,特别严重,要按医生方案进行再次美白,具体情况建议咨询在线客服。
A:一般色素牙,轻度的四环素牙、氟斑牙一次就够,特别严重,要按医生方案进行再次美白,具体情况建议咨询在线客服。
A:临床大多可维持3~5年,与皓齿的专利美白剂有关,比传统蓝光美白有效期更长。建议大家少喝咖啡浓茶,效果更持久~
英国皇室御用美白技术不伤牙体拥有好莱坞白
薄如蝉翼0.2mm厚度遮盖牙色修复形态
洁牙升级防护合一牙结石与菌斑无所遁形
修复美白一步到位亮白耐咬耐磨不易崩瓷
麥芽牙科羅湖機构
麥芽牙科南山機构
麥芽牙科寶安機构
麥芽牙科惠州機构
麥芽牙科福田機构
麥芽龍華醫院
區政府示範組織
種植醫師學會
牙科學院
口腔修復學會
牙周病學會
姚江武教授點贊麥芽碩博團隊
劉寶林教授題詞天涯術業若比鄰
中華口腔會長王興教授題詞
工程院院士邱蔚六為麥芽題詞
劉寶林教授認可麥芽品牌理念
淩均棨教授為麥芽題詞點贊
鄭蒼尚教授獲ICOI院士
鄭院長帶領團代獲一等獎
鄭院長任ICOI中國總會副會長
鄭蒼尚教授獲醫學科學技術獎
鄭蒼尚教授獲市二院管理獎
羅維博士赴法參與種植課程
邢曉建院長喜提植雙博士
正畸醫師吳伯海獲博士任職
王長晟醫師獲DSD修復金獎
受邀雅加達保障冠軍微笑
麥芽院長受邀義大利交流訪問
麥芽種植醫師榮獲秀考官