当天种牙,当天啃苹果
——麦芽为VIP何先生完成“即刻种植修复术”
2015年12月13日,对于何先生(化名)来说,这是一个值得铭记的日子。在饱受牙缺失困扰多年之后,终于迎来了自由享受美食日子。
● 这个富豪有点烦,家资亿万却吃不下
今年47岁的何先生是位风光无限的成功人士,多年来积聚了亿万财富,却饱受口腔困扰,看尽美食却难尝美味,实在令他苦不堪言。
“其实在信息飞速发展的今天,我早已通过报纸、互联网等媒介了解到种植牙技术,但一直因担心拔牙导致“面子”问题,又担心医生技术水平、种植效果、怕痛等原因,迟迟未行动”,何先生说道。其实,通过多种途径了解并持续关注种植牙方面信息,何先生对种植牙的技术有一定的初步的了解,所以在技术上更是要求精益求精,对口腔诊疗的环境、设备、医生技术水平都要求甚高。

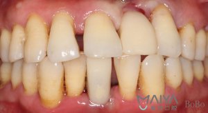
手术前(左上门牙携带活动义齿、右下门牙松动)
● 麦芽数字生物种植牙,即种即用乐翻他
麦芽口腔首席种植专家游勤波院长介绍,何先生需要种植的左上门牙携带活动义齿、右下门牙松动都是“面子”工程,普通种植牙过程上中的一个阶段大概需要三个月左右。
但麦芽数字生物种植牙采用即刻种植技术仅仅60分种就能完成,解决了何先生不想等待3-6个月牙槽窝愈合才种植的愿望,极大缩短了患者就诊时间,且其美观、功能与自体牙类似,能很好的恢复咀嚼功能,固位效果好,外观自然逼真,而且种植时间大大减少,种完牙当天就能享受美食,甚至啃上苹果了。

种植术后修复
● 解析麦芽数字生物种植牙
麦芽数字生物种植牙精准的植入定位和先进材料的应用,确保了种植体的良好生物相容性,延长了种植牙的使用寿命。采用国际当先全数字化口腔模式,从口内数据CT扫描提取、数字化分析与模拟、数字化建模、数字化手术导板、3D模型打印、义齿加工以及手术模拟导航等,确保了麦芽的口腔诊疗技术更加严谨、精密和安全。
1、3D导板种植技术:通过CT了解骨头的宽度、高度包括牙龈厚度,把种植体放在合理合适的位置,达到后期4D效果。

术前CT分析、导板分析和种植后对比
2、牙龈微创技术:避免翻起牙龈、缝合、拆线等步骤,将创伤降低到最小程度,避免了术后肿痛和出血,术中“零”出血,术后几乎不会疼痛和肿胀。

种植导板
3、即刻种植技术:即拔即种,即刻修复,大大减少就诊次数,无需往返拆线,即刻种植即可就用。

即刻修复体
4、种植专家技术:专家技术和经验是又快又好的保证,麦芽口腔携连锁口腔成熟经验首次入深,采用世界牙科联盟(FDI)、中华口腔医学会医师准入机制,与ICOI国际口腔种植医师学会、美国圣安东尼奥牙科学院、美国修复学会、美国牙周病学会、美国南加州大学牙学院、墨西哥大学等多家著名院校及机构专家合作,引入优秀的国际口腔医师团队,汇聚全球最精英的口腔专家团队。

3D模拟上颌临时牙术前 和 种植术后对比
● 本期大师推荐

游勤波
麦芽口腔中方院长,首席种植专家,中华口腔医学会种植专委会会员,中华口腔医学会民营口腔医疗分会会员,麦芽国际口腔医学研究院专家,深圳微创种植牙研究院专家组成员,2015口腔种植新进展研讨会(广东省省级继续教育项目)专家,瑞典Nobel即刻种植/修复认证医师,韩国OSSTEM认证种植牙医师,韩国Dentium认证种植牙医师,从事临床口腔种植修复工作10余年,系国内少数ALL-ON-4种植牙技术掌握者,至今种牙5000多颗。
【精研项目】 数字化生物种植牙、ALL-ON-4种植牙、即刻种植、前牙美学种植、美容冠修复等。
數位化口腔種植學科專家組
由深圳二院原口腔科主任、國際種植醫師學會院士鄭蒼尚教授領銜的數位化精確種植學科專家組,在種植領域有豐富的臨床經驗,獲業內人士的廣泛好評!
數位化口腔正畸學科專家組
由白明海、吳伯海等畢業於名校的正畸專才領銜,凝聚一批國際資質認證的矯正醫師,運用數位化科技將醫學與美學完滿融合,在矯牙為您重塑美麗笑線和臉型!
數位化美學修復學科專家組
該學科組擅長運用系列數位化軟硬體設備,為您精細比色、類比牙體形態、塑造微笑曲線,將紅白美學、咬合關係與缺損修復融為一體。
數位化牙周病學科專家組
由香港大學牙周病學博士李京平領銜的牙周病學科專家組,致力根據個體實際牙周情况設計治療方案,運用數位化設備帶來更為舒適精細的體驗。
數位化兒牙治療學科專家組
依託嚴格醫生注入制度,麥芽打造一批深諳兒童心理與口腔狀況的醫生團隊,致力帶來更舒適的看牙體驗,讓未成年人告別看牙恐懼症,輕鬆擁有健康好牙。
麥芽牙科連鎖·品牌實力陞級