(原标题:牙齿畸形很苦恼,麦芽隐形矫正让你悄然变美!)
迷人的魅力从何而来?
也许你认为是颜值,是衣着
但是在小麦看来
它来自于你的强大内心
来自于你的灿烂笑容
毕竟,那是闪耀在唇齿间的美丽光芒

但是很多小伙伴们会说
没有完美牙齿怎么能展现自信笑容?
在这里小麦想跟你说
来麦芽口腔
对歪牙、丑牙、龅牙说再!见!
96年美模正畸宣言:
“为遇见更好的自己努力”
18岁正是一个人对爱美之心强烈时,河源客家妹子曾燕莎也是如此。随着年纪的增长她发现牙齿越来越稀疏,但由于还是学生,经济尚未独立,也未曾告知家长,所以矫牙一事就此搁置。自从她心里种下了矫牙的根,并且逐渐萌芽生长。

她曾经在网上搜索了牙套的种类,考虑到模特工作的原因,能在不影响美观的同时矫正牙齿的方式应是首挑,因此她搜索了隐形牙套的全方位资讯,也曾经走访了广州一家口腔医院,但是由于当时经济能力有限,接待她的医生看起来也不够耐心,就放弃了。
2017年12月的偶然一天,燕莎看到闺蜜朋友圈发的关于麦芽口腔的资讯 于是,周末休息时莎特地从广州来到位于深圳罗湖区深南东路2102号的麦芽口腔罗湖机构。

在体验了麦芽舒适的环境、热情的服务及周悦主任专业的讲解后,她说:“对比之前在广州了解到的机构,麦芽口腔给我就诊体验好太多了!”

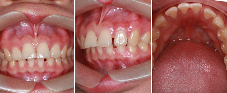
虽然过去才10个月时间,但是矫牙的效果已经完全显现出来,牙缝已经逐渐缩小,牙齿越来越整齐了,在复诊时曾燕莎曾说:“希望通过矫正牙齿,能关闭自己的牙缝,笑容依旧灿烂如同昨日。”
三年匠心筑齿
打造完美微笑
麦芽口腔在2015年成立之初便把如何打造“适合亚洲人的齿间艺术”作为重要课题,在总院长郑苍尚教授的带领下打造出麦芽数字化美学正畸技术,创造性地将口腔正畸美学、全数字化科技、口腔美容及东方人的脸型结构集中在一起。
通过德国卡瓦/西诺德口腔数字化全景机,全方位成像患者牙齿生长情况,科学设计正畸方案,最大程度的保证患者能得到的理想效果,让美齿在悄然中一天天进行改变,完成麦芽正畸。

为了提供多样化的产品来满足不同层次市民的口腔健康需求,麦芽口腔不断引进国际最新的诊疗技术,如美国隐适美隐形矫正、双膜隐形矫正等来帮助他们打造迷人微笑。
3年来,麦芽口腔谨守“以技术为核心,以公益树品牌”宗旨,遵循医学技术与艺术美学的融合,为广大市民提供优质的口腔健康服务。我们希望通过麦芽口腔,您的微笑永远闪耀,您的世界永远光芒灿烂!
下一篇:麦芽口腔三周年凝心聚力创品质医疗
數位化口腔種植學科專家組
由深圳二院原口腔科主任、國際種植醫師學會院士鄭蒼尚教授領銜的數位化精確種植學科專家組,在種植領域有豐富的臨床經驗,獲業內人士的廣泛好評!
數位化口腔正畸學科專家組
由白明海、吳伯海等畢業於名校的正畸專才領銜,凝聚一批國際資質認證的矯正醫師,運用數位化科技將醫學與美學完滿融合,在矯牙為您重塑美麗笑線和臉型!
數位化美學修復學科專家組
該學科組擅長運用系列數位化軟硬體設備,為您精細比色、類比牙體形態、塑造微笑曲線,將紅白美學、咬合關係與缺損修復融為一體。
數位化牙周病學科專家組
由香港大學牙周病學博士李京平領銜的牙周病學科專家組,致力根據個體實際牙周情况設計治療方案,運用數位化設備帶來更為舒適精細的體驗。
數位化兒牙治療學科專家組
依託嚴格醫生注入制度,麥芽打造一批深諳兒童心理與口腔狀況的醫生團隊,致力帶來更舒適的看牙體驗,讓未成年人告別看牙恐懼症,輕鬆擁有健康好牙。
麥芽牙科連鎖·品牌實力陞級